官方微信
登录
注册
搜索
搜索
本版
文章
帖子
用户
免费发布信息
首页
Portal
新闻资讯
论坛
BBS
分类信息
房源中心
租房
跳蚤市场
活动
新闻
加国
大多
美国
环球
经济
时政
娱乐
地产
信息
房源
新盘
家庭旅馆
跳蚤市场
短租
折扣
机票邮轮
生活服务
社区
城事杂谈
旅游天地
大多生活
房产楼市
北美股票
房东信息
税务理财
健康锻炼
交友征婚
法律求助
加国新闻
大多新闻
美国新闻
环球新闻
经济观察
时政频道
财经资讯
娱乐八卦
生活百态
史海钩沉
健康养生
国际体坛
城事杂谈
大多生活
旅游天地
房产聚焦
税务理财
北美股票
子女教育
房东信息
健康锻炼
移民留学
体育娱乐
婚姻生活
宠物乐园
我爱我家
流行时尚
交友征婚
法律求助
便民信息
黄页
机票邮轮
求职招聘
换汇交易
拼车中心
商家折扣
二手车
非诚勿扰
周边游
扫一扫,关注我们
我的空间
我的消息
我的收藏
我的好友
我的相册
我的道具
帐号设置
退出登录
加国新闻
大多新闻
美国新闻
环球新闻
经济观察
时政频道
财经资讯
娱乐八卦
生活百态
史海钩沉
健康养生
国际体坛
城事杂谈
大多生活
旅游天地
房产聚焦
税务理财
北美股票
子女教育
房东信息
健康锻炼
移民留学
体育娱乐
婚姻生活
宠物乐园
我爱我家
流行时尚
交友征婚
法律求助
便民信息
黄页
机票邮轮
求职招聘
换汇交易
拼车中心
商家折扣
二手车
非诚勿扰
周边游
加国同城
»
论坛
›
多伦多华人论坛
›
宠物乐园
›
杭州一小区多只猫咪被箭射伤,属地派出所:正在调查核实 ...
发帖
查看
168
回复
0
杭州一小区多只猫咪被箭射伤,属地派出所:正在调查核实
睿文
睿文
当前离线
积分
11192
3603
主题
0
回帖
1万
积分
版主
积分
11192
发消息
发表于 2024-8-21 21:01:47
|
来自:北美地区
|
显示全部楼层
|
阅读模式
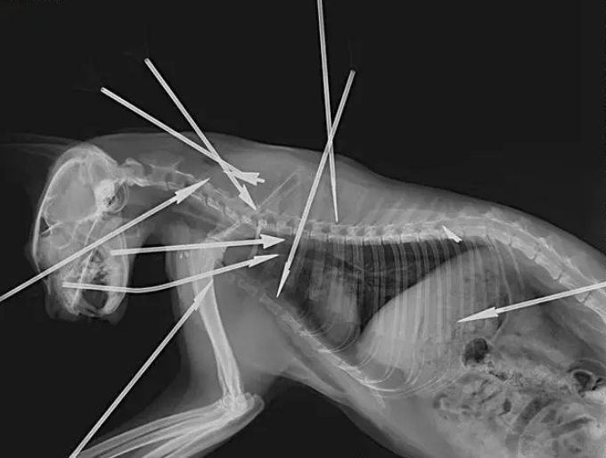
8月13日,杭州余杭区某小区居民发现,一只在小区生活了约3年的狸白猫被箭射伤,身上插着9支箭。14日,志愿者又在小区中发现了2只被箭射伤的猫和一只已死亡多日的猫。目前,2只受伤的猫正在医院救治。小区居民认为,这样残忍的行为不仅伤害了动物,也威胁着社区居民的人身安全。
14日,红星新闻记者从事发小区属地派出所了解到,警方工作人员正在调查核实此事,具体情况不便透露。而据浙江经视报道,嫌疑人已被警方控制。
猫咪救助志愿者张女士告诉红星新闻,8月13日下午4点左右,她看到事发小区有居民在网络发帖求助,称小区里的狸白猫被箭射伤,不知道该怎么办。于是张女士赶到收治受伤猫咪的宠物医院,协助居民处理。
张女士提供的照片显示,狸白猫的头部、胸部和背部总共被射入9支箭,而根据X光片,还有一个断了的箭头留在猫咪体内,也就是说,狸白猫总共中了10箭。因伤势过重,最终这只猫咪抢救无效死亡。居民告诉张女士,这只猫咪在小区生活了约3年,性格温顺亲人,居民为它做了绝育、打了疫苗,没想到竟遭遇毒手。
14日早晨,前述小区的居民又在小区里发现一只约2个月大的雌性玳瑁猫中了2支箭,连忙送往医院抢救。当天下午,志愿者在小区里又找到一只尾部中箭的雌性成年奶牛猫和一只已死亡多日的猫。
张女士说,8月13日,她就前往小区属地派出所报案,警方调取了监控。14日发现更多被箭射伤的猫咪后,她和其他志愿者再次向警方反映了情况。
记者了解到,此次参与救助受伤猫咪的宠物医院有两家,一家收治了狸白猫,另一家收治了玳瑁猫和奶牛猫。
8月14日,收治了狸白猫的医院工作人员告诉记者,昨天下午,狸白猫被送到医院时状态已经很差,这只猫身中10箭(包括体内箭头),尤为严重的是,其中一支箭从猫的鼻部贯穿至咽喉,一支箭刺穿了它的肺部。抢救约1个半小时后,猫咪被确认死亡。
收治了玳瑁猫和奶牛猫的宠物医院工作人员告诉红星新闻记者,一支箭贯穿了玳瑁猫的身体,肺叶破裂,情况危急。医生为它做了开胸手术,目前仍在ICU中。奶牛猫尾部中箭断裂,也接受了手术。
回复
举报
发帖
快速回帖
高级模式
B
Color
Image
Link
Quote
Code
Smilies
您需要登录后才可以回帖
登录
|
立即注册
本版积分规则
发表回复
回帖后跳转到最后一页
精选推荐
联系客服
关注微信
返回顶部
返回列表
点击联系客服
在线时间:8:30-17:00
电子邮件
kefu@58.ca
扫一扫,关注我们
下载APP客户端