官方微信
登录
注册
搜索
搜索
本版
文章
帖子
用户
免费发布信息
首页
Portal
新闻资讯
论坛
BBS
分类信息
房源中心
租房
跳蚤市场
活动
新闻
加国
大多
美国
环球
经济
时政
娱乐
地产
信息
房源
新盘
家庭旅馆
跳蚤市场
短租
折扣
机票邮轮
生活服务
社区
城事杂谈
旅游天地
大多生活
房产楼市
北美股票
房东信息
税务理财
健康锻炼
交友征婚
法律求助
加国新闻
大多新闻
美国新闻
环球新闻
经济观察
时政频道
财经资讯
娱乐八卦
生活百态
史海钩沉
健康养生
国际体坛
城事杂谈
大多生活
旅游天地
房产聚焦
税务理财
北美股票
子女教育
房东信息
健康锻炼
移民留学
体育娱乐
婚姻生活
宠物乐园
我爱我家
流行时尚
交友征婚
法律求助
便民信息
黄页
机票邮轮
求职招聘
换汇交易
拼车中心
商家折扣
二手车
非诚勿扰
周边游
扫一扫,关注我们
我的空间
我的消息
我的收藏
我的好友
我的相册
我的道具
帐号设置
退出登录
加国新闻
大多新闻
美国新闻
环球新闻
经济观察
时政频道
财经资讯
娱乐八卦
生活百态
史海钩沉
健康养生
国际体坛
城事杂谈
大多生活
旅游天地
房产聚焦
税务理财
北美股票
子女教育
房东信息
健康锻炼
移民留学
体育娱乐
婚姻生活
宠物乐园
我爱我家
流行时尚
交友征婚
法律求助
便民信息
黄页
机票邮轮
求职招聘
换汇交易
拼车中心
商家折扣
二手车
非诚勿扰
周边游
加国同城
»
论坛
›
多伦多华人论坛
›
健康锻炼
›
一运动就受伤!医生:5种运动损伤 很多人中招 ...
发帖
查看
136
回复
0
一运动就受伤!医生:5种运动损伤 很多人中招
婆羅花開
婆羅花開
当前离线
积分
8656
2725
主题
0
回帖
8656
积分
版主
积分
8656
发消息
发表于 2024-10-31 22:01:31
|
来自:北美地区
|
显示全部楼层
|
阅读模式
你在为了减肥或保持身材
猛运动➕健身吗
是不是给自己立了个flag
必须要瘦成一道️闪电⚡️
不热身就运动
一运动就猛冲不停
这是不是你运动时的样子
运动过度或运动保护措施不到位
都会给身体带来不同程度的损伤
近日,西安中医脑病医院接诊了
很多因运动后疼痛前来就诊的患者
肌肉拉伤、关节扭伤、韧带撕裂等
在医学影像中心做了磁共振检查后
均证实他们疼痛部位有不同程度的运动损伤
医生提醒:
警惕以下运动损伤,千万别“中招”
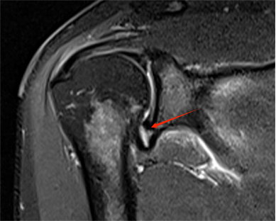
△ 打羽毛球之后的关节盂唇撕裂,周围间隙渗出
△ 跳绳之后交叉韧带撕裂
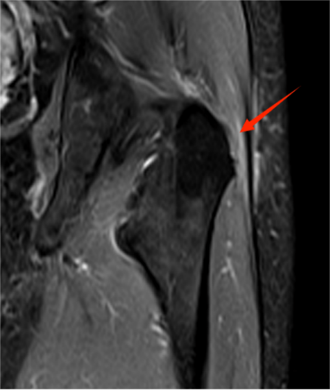
△ 游泳之后诱发髋关节滑囊炎
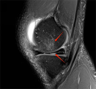
△ 跑步之后造成的骨髓水肿和半月板撕裂
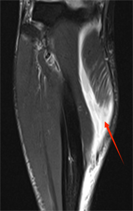
△踢足球之后的小腿肌肉拉伤
这么多运动之后带来的损伤
若不及时处理,或者治疗效果不佳
很可能会演变为陈旧伤
使得疼痛部位病程延长
那么,在日常运动中
如何才能更好地避免运动损伤呢
1、评估
需要评估自身是否适合运动以及适合哪类运动。
关节不稳定或肌肉力量差的人群,需要请专业教练指导,降低运动损伤的风险。
2、装备
选择合适的运动装备、建议佩戴好护具,加强对关节的保护。
在舒适的运动场地进行训练,较硬的地面会增加对膝关节及踝关节的压力。
3、热身
运动前的科学热身很关键,在正式运动之前,由于身体的关节、肌肉是静态的,如果突然进行剧烈的运动,很容易损伤这些结构。
因此要先做一些热身活动,唤醒肌肉,避免肌肉的突然收缩及舒张对关节造成损伤。
运动结束后也要进行拉伸,能有效缓解肌肉紧张,提高柔韧性。
运动创伤紧急处理方案
如果发生运动创伤,可以根据具体伤情,采取针对性的紧急处理方法。
1
出血
直接压迫伤口,如干净的手帕、布带等直接放在伤口上,用力按压达到止血的目的。加压止血效果不明显时,可以用围巾、毛巾等代替止血带进行包扎止血。
2
骨折
可用纸板、树枝、雨伞等代替夹板固定损伤部位,防止骨折部位活动;注意在夹板和患处之间垫布巾,夹板应稍长,以免过短造成不稳定状态;然后及时送医。
3
扭伤、脱臼
当认为可能发生扭伤或脱臼时,应先用湿毛巾冷却患处并固定关节,以限制活动;然后及时送医治疗,就医途中避免不必要的搬动。
4
创伤
用清洁水清洗伤口,并用纱布包扎;若患处红肿可在绷带上放置冰袋或湿毛巾进行冷却;抬高患处,减轻肿痛;尽早就医。
5
肌肉拉伤
当怀疑发生肌肉拉伤时,可用弹力绷带包扎或者用护膝固定患处,静卧;放置冰袋或是湿毛巾进行冷敷;保持静卧姿势,一边冷敷患处,一边立即送医。
6
腿肚抽筋
腿伸直,将拇趾向后扳,使腿肚伸直。不过要注意的是,这种方法虽然有效,但有可能复发,因此不可大意。此外,轻度按摩和温浴疗法也可有效缓解肌肉紧张。
7
手指挫伤
用湿毛巾冷却后,再用纸板等厚质物品将患指包起,并用绷带轻轻和邻指固定在一起,同时尽早送医检查和治疗。
合理安排运动时间,循序渐进
身体出现不适时请停止运动
及时到医院就诊
安全高效的运动
才能更好保持身心健康
回复
举报
发帖
快速回帖
高级模式
B
Color
Image
Link
Quote
Code
Smilies
您需要登录后才可以回帖
登录
|
立即注册
本版积分规则
发表回复
回帖后跳转到最后一页
精选推荐
浏览过的版块
美食厨房
联系客服
关注微信
返回顶部
返回列表
点击联系客服
在线时间:8:30-17:00
电子邮件
kefu@58.ca
扫一扫,关注我们
下载APP客户端